患有高血压、糖尿病、脑梗等基础疾病的姜大叔(化名),在心脏支架植入后“踩了坑”,让自己陷入危急状况:
· 术后自行停药,未规律抗血小板、抗斑块治疗;
· 道听途说网上购买药物;
· 胸痛持续4小时才送医。
是不是在姜大叔上看到自己的身影?别大意,危险着呢!
凌晨发病,刻不容缓
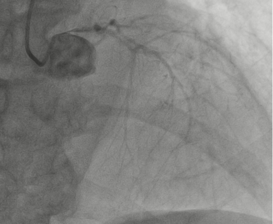
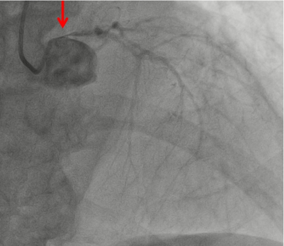
10月24日凌晨1时,67岁的姜大叔突发胸痛并持续加重,伴有大汗,在家忍受了4小时后才拨打了120电话送到我院,经绿色通道行急诊冠脉造影见:右冠急性闭塞、左主干重度狭窄、前降支中远段慢性闭塞、回旋支近段重度狭窄。一边血管堵塞一边血管开口接近闭塞,相当于心肌只有很少血液供应,随时有猝死风险。

图1:右冠闭塞

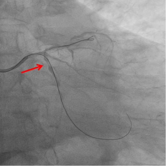
图2:左主干开口及近段重度狭窄、前降支慢性闭塞

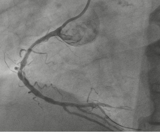
图3:右冠开通后
与死神的第一次交锋在介入室打响,胸痛中心介入团队在患者入院不到1小时便开通了右冠闭塞血管,患者胸痛症状明显缓解,术后送患者回CCU监护治疗,拟病情稳定后再处理左冠病变。
再现危机,命悬一线
当日上午李龙虎主任在进行查房的时候,患者开始出现气促,且逐渐加重,无法平卧,血氧饱和度开始下降。这是典型的急性心衰发作表现,情况十分危急。
李主任分析,患者右冠已开通血流改善,心衰进展和急性发作除了和此次急性心梗及开通后缺血再灌注导致的心肌损伤有关之外,另一个重要原因是左主干严重狭窄,导致左心系统明显缺血,左干主相当于一个城市供水系统中最粗的那根水管,心脏超过60-80%的心肌都由它供血,此时患者的心肌大范围缺血和急性心衰像两个恶魔一样,形成恶性循环,无情地把一位老人推入迈向死亡的倒计时。
快速决策,充分沟通
尽快处理左主干病变,改善心脏供血,对患者至关重要。但患者目前心衰发作,不能平卧,血氧在持续下降,手术风险极高,患者术中能否耐受配合很难把控,如果不再次上台处理左主干,仅强化纠正心衰治疗,也难免很快进展成心源性休克,到那时患者更难承受手术,很可能要借助ECOMO体外循环支持去应对,出现这种情况,不仅死亡率极高,经济花费患者也很难承受得了。
这场手术逐渐演变成了一场“All-in”的豪赌,也是任何术者最不想遇到的境况,结局有可能“赔了夫人又折兵”,如果手术成功了,患者转危为安,生命通道被重新打通,一旦出现任何意外,特别是急性心衰发作、心源性休克、心脏骤停,可能就是致命的,连抢救的机会都非常渺茫。
跟家属告知了手术的必要性及极高的手术风险,可能会出现严重并发症甚至死亡下不了手术台,家属表示理解、接受风险、积极同意手术治疗。
顶住风险,手术顺利
与死神的第二次交锋在手术室再次打响,刚上手术台患者虽能勉强平卧,仍有胸闷气促发作,李主任一面安抚患者的恐慌情绪,一面要求助手紧密配合,强调短时间内完成手术,快速缓解心脏缺血,在台上多待一分钟,患者即多一分危险。
呼吸机、除颤仪、心脏辅助装置IABP等也都处于备用状态,术者和护士有条不紊、紧张高效,手术开始后在回旋支近段快速植入1枚支架,左主干扩张完也顺利植入1枚支架,至此,心脏血流明显改善,患者逐渐平静下来,呼吸也没那么急了。
李主任在台上问患者还能否耐受手术,可以的话,争取半小时内尝试开通前降支慢性闭塞病变,患者感觉气促好多了,说“还能再躺一会儿”,在患者的积极配合下,李主任应用双导丝技术很快通过慢性闭塞段,充分扩张病变段后予药物球囊处理。
在1小时内,左主干病变解决了,前降支的慢闭和回旋支的重度狭窄也一并处理了,手术达到了预期最好的效果。

图4:左冠术前回旋支重度狭窄

图5:左冠术后回旋支

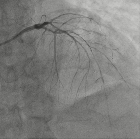
图6:左主干和回旋支重度狭窄、前降支慢性闭塞

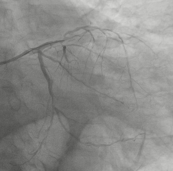
图7:左冠术后:左主干狭窄解除、前降支开通
逐渐稳定,再获新生
手术后患者气促症状明显改善,在后续治疗调整、优化和精心的护理下,患者心功能逐渐好转,康复出院,出院后无胸痛、胸闷、气短症状,门诊定期随访。这次也跟患者强调了遵医嘱服药的重要性,患者经历了这次危机,也提高了对此疾病的认识和门诊随诊规律服药的意义,表示不再随便被网络误导买非正规药了。
术后李龙虎主任医师谈及手术心得:左主干病变风险很高,慢性闭塞病变开通难度大,这两种情况同时出现在了病情危急的心梗心衰患者上,风险很高。丰富临床经验的医师团队和先进介入诊疗设备,还有平日高难度手术技术积累,有效地为患者生命健康保驾护航。
随着广医五院心血管内科在冠心病介入治疗领域不断拓展及积累,左主干病变、分叉病变、慢性闭塞病变、钙化病变等复杂冠状手术的介入治疗,已成为介入团队的常规工作,作为广州东部心血管病诊疗中心、国家级胸痛中心、黄埔区胸痛单元建设牵头单位,我们始终秉承“以患者为中心”的服务理念,不断钻研求新,将前沿的医疗技术和优质的医疗服务带给每一位患者,守护广州东部及粤港澳大湾区百姓的心血管健康。
专家介绍

卢才义
心脏中心主任
心血管内科主任
主任医师
教授,医学博士,博士生导师、国内心血管专业著名专家。先后担任空军总医院副院长,第四军医大学教授,解放军总医院老年心血管病研究所副所长、老年心血管内科主任、中华医学会心脏起搏与电生理学会委员,北京医学会常委,全军老年医学专业委员会常委、秘书长,中华医学会介入心脏病学培训中心委员等职务,获得广州人才绿卡和政府特殊津贴。主要从事心血管内科学、介入心脏病学、心血管保健和预防医学的临床和科研工作,具有20多年的心导管操作经验,独立完成各类心血管介入手术3万多例,是国内心血管临床和介入技术最为全面的著名心血管内科专家之一,主要技术特色是复杂心律失常导管消融和介入心脏病学精准治疗。能独立熟练完成的导管微创介入手术包括:1.复杂冠心病球囊扩张和支架治疗。2.房颤和心动过速导管消融。3.经肾动脉交感神经消融治疗。4.安装各种心脏起搏器。5.心脏同步起搏治疗心衰。6.导管化学消融肥厚心肌病。7.导管封堵先心病和左心耳。8.肾动脉和外周动脉支架治疗。9.心脏瓣膜病导管扩张治疗。率先在国内开展4项临床诊疗新技术:在体心肌单相动作电位、心肌激光打孔、肺静脉超声消融、心律失常磁导航消融。先后主持完成多项国家和省市重大科研课题,获得10多项科研成果奖。发表国内外学术论文300多篇,出版学术专著20多部,包括国内首部介入心脏病学专著。带教博士、硕士生30余名,目前都已经走上专业和行政领导岗位。
出诊时间:每周二、周四上午。

李龙虎
心血管内科副主任
主任医师
主任医师、医学博士、博士后、教授、硕士研究生导师、心血管内科副主任。国家自然科学基金项目评审专家。中国心脏联盟心血管疾病预防与康复专业委员会委员,广东省医学会心血管病学分会委员,广东省医师协会心脏重症专业委员会常务委员,中国大湾区心脏协会泛血管医学分会委员,广东省老年保健协会高血压专业委员会副主任委员,广州市医学会心血管病学分会常务委员,广州市血管外科医疗质量中心专家组成员。荣获第十届“羊城好医生”称号。
从事心血管及内科疾病的诊断与治疗工作20余年,对急性心肌梗死、心绞痛、急慢性心力衰竭、顽固性高血压、恶性心律失常及各种结构性心脏病的诊断、抢救和治疗有丰富的临床经验。擅长冠心病、肺血管病、经皮主动脉瓣置换(TAVI)、外周血管病、先心病等介入手术,在冠心病左主干、慢性闭塞、分叉、钙化病变等复杂高难度介入手术治疗领域有较深的造诣,2013年在世界上首创性地提出了冠心病分叉病变介入治疗BSKT新术式,目前该项技术在国内外被广泛使用。主持过国家自然科学基金、教育部留学归国人员启动基金、省自然科学基金等多项科研课题,已发表SCI论文及国家核心期刊30余篇,数篇以第一或通讯作者发表在国际权威杂志上,如《Circulation》《JACC》等杂志。
出诊时间:周二上午、周三全天。
作者简介

许业灏
心血管内科
主治医师
胸痛中心秘书、教学秘书,从事临床工作近十年,对治疗冠心病、心衰、高血压、心律失常等有丰富的经验,专注于老年人心血管慢病的管理、冠心病和外周血管疾病的介入治疗。
出诊时间:周二下午、周日上午。



